![]()
обследования
человека,
наименее
доступным
оставался
головной
мозг, скрытый
череп
13513u2010n 85;ой
короб сана
лучевая
анатомия
задней
череп
13513u2010n 85;ой ямки
и структур,
лежащих выше
намета
мозжечка.
![]()
![]()
площади сращен с костями череп 13513u2010n 72;. Венозные пазухи тонкостенные и уже, чем у взрослых. Мягкая
(Heubner)
гиперэхогенными - выглядят кости череп 13513u2010n 72;. Сосудистые сплетения желудочков также гипер-эхогенны. Особенно хорошо лоцируются сплетения боковых желудочков, которые, распрост
![]()
I T.Riebel
III IV
|
|
|
|
|
|
III IV
|
|
|
рога боковых желудочков; б - через структуры задней череп 13513u2010n 85;ой ямки.
III
III III
![]()
«halo» [Grant E., «blush» [Di Pietro M.A.,
M.S.Leven III (cavum septi pellucidi),
HU
HU)
|
|
|
|
|
|
|
|
|
|
|
|
|
|
|
|
|
|
|
|
|
|
|
|
i
череп 13513u2010n 85;ой ямки, в некоторых случаях хорошо видны лентовидные уплотнения поперечного и III
R.B.Dietrich
K.Flechsig
![]()
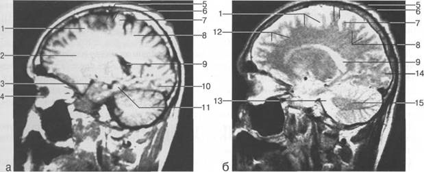
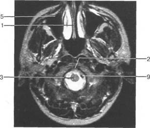
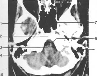
Задняя череп 13513u2010n 85;ая ямка представляет собой часть основания череп 13513u2010n 72;, ограниченную централь
Следует отметить, что в настоящее время оптимальным методом исследования структур задней череп 13513u2010n 85;ой ямки является МРТ, которая, в отличие от КТ, лишена артефактов от кост
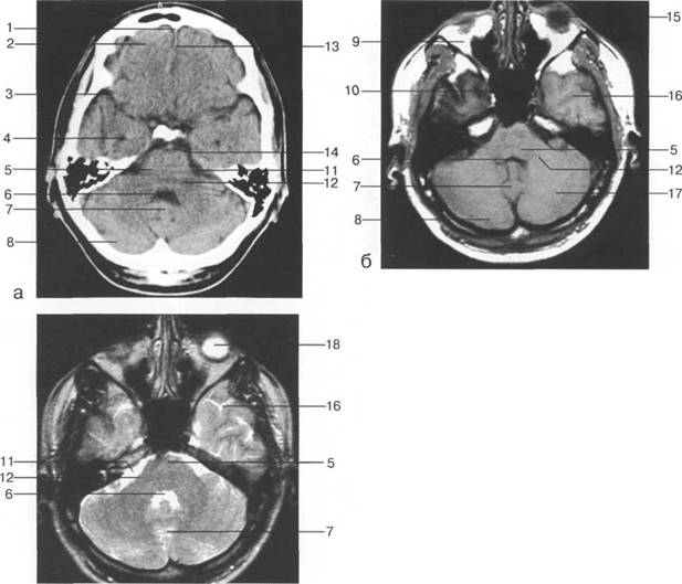
Мозжечок заполняет практически весь объем задней череп 13513u2010n 85;ой ямки. Его поперечный раз
|
|
|
|
|
|
|
|
|
|
|
|
4 |
|
|
IV IV IV IV III IV
височная доля; 17 - полушарие мозжечка; 18 - |
Следует остановиться на анатомии подпаутинных пространств задней череп 13513u2010n 85;ой ямки IV 20 мм. Между основанием череп 13513u2010n 72; и нижней поверхностью мозга от большого затылочного отверстия вдоль ската и спинки турецкого седла простирается задняя базальная цистерна. В зави IV
Следует остановиться на анатомии подпаутинных пространств задней череп 13513u2010n 85;ой ямки IV 20 мм. Между основанием череп 13513u2010n 72; и нижней поверхностью мозга от большого затылочного от IV
![]()
![]()
![]()
![]()
![]()
![]()
![]()
![]()
![]()
![]()
редняя мозговая артерия; 31 - межножковая цистерна.
|
|
|
|
|
![]()
![]()
![]()
![]()
![]()
![]()
![]()
![]()
![]()
![]()
![]()
"
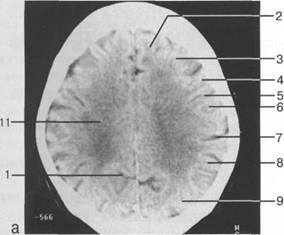
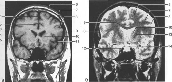
мие; 26 - поясная борозда; 27 - головка хвостатого ядра; 28 - бледный шар; 29 - височный рог боково
В латеральных отделах дно передней череп 13513u2010n 85;ой ямки образовано крышами глазниц, а в центральном - продырявленной пластинкой. Базальные отделы лобных долей представлены ко
|
|
|
|
|
|
|
|
|
ные извилины (рис. 1.10). Структуры средней череп 13513u2010n 85;ой ямки ограничены спереди малым крылом основной кости, снизу - большим крылом, сзади - передней поверхностью пирами «edge» «bone»
Содержимое средней череп 13513u2010n 85;ой ямки представлено базальными отделами височной доли.
|
|
|
ристый синус с внутренней сонной артерией, череп 13513u2010n 85;о-мозговые нервы) дифференцировать тральные отделы основания череп 13513u2010n 72; занимает турецкое седло. В полости турецкого седла ви
III III III
![]()
![]()
![]()
![]()
![]()
![]()
![]()
![]()
![]()
отделов
боковых
цистерна четверохолмия; 14 -прямой синус; 15 -лобный рог; 16 - головка хвостатого ядра; 17 -перед
t
|
|
III ди зрительного бугра идет ретроталамическая цистерна, ориентированная во фронтальной
III
|
|
|
|
|
|
|
|
![]()
![]()


3G
![]()

HU; HU).
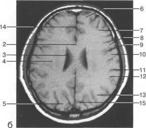
проведенной от наиболее дистальной точки затылочного рога к костям свода череп 13513u2010n 72;. Считает
IV
![]()
![]()
|
|
|
|
|

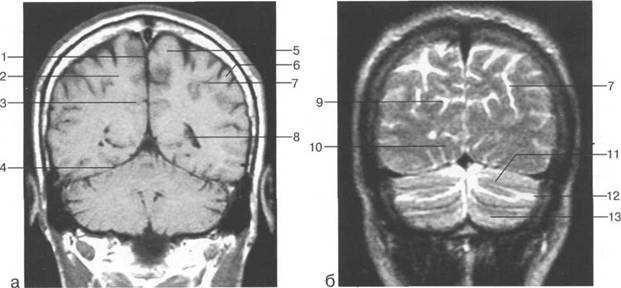
теменно-затылочная борозда; 11 - семиовальные
![]()
(planum),
HU, HU).
мозга осуществляется через две сонные и две позвоночные артерии. Располагаясь в толще шеи, эти сосуды достигают основания череп 13513u2010n 72; и проникают в его
кровь в направлении к голове между сердцем и основанием череп 13513u2010n 72;. Хотя надо отметить, что вхождения их в полость череп 13513u2010n 72;.
(truncus brachiocephalicus)
(a. carotis communis) (OCA)
CIV, Cv, CVI. OCA
вей до вхождения в полость череп 13513u2010n 72;.
a. thyreoidea superior, a. lingualis, a. maxillaris externa;
a. sternoclaidomastoidea, a. occipitalis, a. auricularis posterior;
a. pharingea ascendens;
a. temporalis superficialis, a. maxillaris interna.
I I
S (VI CV1 Cv (V2
![]()
![]()
![]()
V3 V4
ВСА входит в полость череп 13513u2010n 72; через каротидное отверстие (foramen caroticum), (foramen jugularis). (foramen lacerum),

1 - сифон внутренней сонной артерии; 2 - глазничная артерия; 3 - восходящая часть передней мозговой артерии (А2); 4 - дуга передней мозговой артерии вокруг колена мозолистого тела (A3); 5 - перикаллезная артерия; 6 - лобно-полюсная артерия; 7 - каллезо-маргинальная артерия; (Ml);
S пической
диагностики
объемных
образований
параселлярной
области.
(a. cerebri media) Ml)
![]()
![]()
Heubner).
S
![]()

III
III.
![]()
V3
мозга представлена венами мозга и мозговыми синусами. Раз
|
|

III
Верхний
продольный
синус,
расположенный
в месте
прикреп
13513u2010n 83;ения
серповидного
отрос
тка к своду
череп
13513u2010n 72;. Он
собирает
кровь из поверхностных
вен лобной,
теменной и
затьшочнои
долей
мозга и
частично из
костей свода
череп
13513u2010n 72;.
по линии прикреп 13513u2010n 83;ения серповидного отростка мозжечка к затылочной кости. Этот синус на-
![]()
Пещеристый
синус,
располагающийся
на основании
череп
13513u2010n 72; по
обеим
сторонам от
турец
I в
полость
череп
13513u2010n 72;.
Поперечный
синус, идущий
от места
слияния синусов
латерально
по линии
прикреп
13513u2010n 83;е
ния
намета
мозжечка к
череп
13513u2010n 91; в
борозде поперечного
синуса.
S в луковицу внутренней яремной вены, которая через яремное отверстие выходит из полости череп 13513u2010n 72;.
сариев в костях череп 13513u2010n 72; и связь синусов твердой мозговой оболочки с диплоическими венами череп 13513u2010n 72; обеспечивают отток крови в вены мягких тканей головы, т. е. в экстракраниальную ве
Томография череп 13513u2010n 72;.- Л.: Медицина, 1965.- 196 с.
B.C.,
Nicer,
Higgins HricakH.,
Helms C.A. Magnetic resonance imaging of the body. 2nd
ed. New York:
Raven Press, P.
Pancoast H., Pendergrass E.,
Schaeffer J. The Head and Neck in Roentgen Diagnosis.-
Philadelphia,
RobettR., John R. Clinical Magnetic Resonance Imagine.- Philadelphia, P.
Stark D.D., Bradley W.G. Magnetic
resonance imaging. 2nd ed.- St. Louis: Mosby-Year Book,
P.
Taverns J., Wood E. Diagnostic Neuroradiology- Baltimore, p.
|